
호산구성 식도염 (eosinophilic esophagitis, EoE) 진단 기준
: 다음 모든 것을 만족해야
- Esophageal dysfunction과 관련된 증상
- 식도 조직검사에서 호산구 우세 염증, 호산구 ≥15/HPF
- 식도의 호산구 증가와 증상을 일으키는 다른 원인들 배제 : 식도의 호산구 증가가 단순히 호산구성 식도염에서만 있는 것은 아니다.
■ 호산구성 식도염의 진단 기준은 처음 개념적으로 정의되었 때부터 계속 진화해 왔으며, 이전 가이드라인과 대조적으로 하루 2회 PPI 사용 2개월 이후에도 식도 점막에 존재하는 호산구 증가 지속은 더 이상 호산구성 식도염 진단 기준에 포함되지 않는다. PPI에 반응하는 호산구성 식도염은 '호산구성 식도염'과 구별되는 질환이라기보다 '호산구성 식도염'의 하부 분류에 포함된다.
■ 호산구성 식도염에서도 PPI에 증상이 호전되는데, 두 질환이 동반 존재하여 PPI에 호전될 수도 있지만 위산 분비에 대한 효과와 무관하게 EoE의 증상이 호전되기도 한다.
■ Cutoff 값으로서 HPF당 15개 이상의 호산구를 필요로 하는 것은 광범위하게 검증되지 않았다.
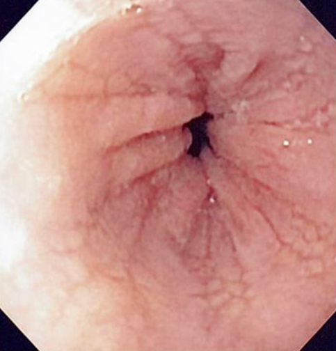
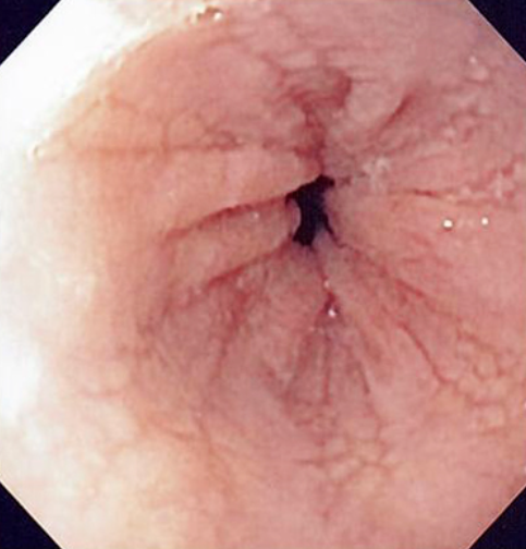
호산구성 식도염 (eosinophilic esophagitis, EoE) 내시경 소견
■ Exudate, Rings, Edema, Furrows, Strictures 평가에 근거한 점수 체계가 소아와 성인에서 개발되고 검증되었다. 그러나 endoscopic severity의 평가는 내시경 의사마다 다양하다. 게다가 내시경 소견만으로 호산구성 식도염을 진단하는데 제한점이 있다.
⊙ Stacked circular rings ("feline" esophagus) : trachea처럼 보임.
⊙Whitish papules (representing eosinophil microabscesses)
: 작은 하얀색 papule은 eosinphilic abscess임.

⊙ Strictures (particularly proximal strictures)

⊙ Attenuation of the subepithelial vascular pattern
⊙Linear furrows

⊙Small caliber esophagus
호산구성 식도염 (eosinophilic esophagitis, EoE) 치료
★ UpToDate 치료 부분은 예전과 바뀐 것 같다. 내가 기억을 잘 못하는 것일까? -.-;;
치료로 topical glucocorticoid가 1번이었는데 PPI가 1번이고, topical glucocorticoids로서 budesonide가 1번이었는데 fluticasone propionate가 1번으로 소개되어 있다.
■ PPIs는 dietary modification과 topical glucocorticoids와 함께 1차 치료제 중의 하나이다. PPIs를 사용하려면 8주 동안 사용할 것을 제안한다. 첫 4주 동안은 standard full dose인 하루 1회, 4주 후에 증상 개선이 없으면 full dose 하루 2회를 사용한다. 8주 후에 증상 개선이 있다면 증상 개선을 유지할 수 있는 최소 용량의 PPI를 지속한다.
■ 위내시경은 음식이 식도이 낀 병력이 있거나 좁아진 환자에서 일상적으로 반복할 수도 있고, 조직학적 개선을 확인하기 위해 반복할 수도 있다.
■ PPI 사용에도 불구하고 증상이 지속적이라면 dietary modification과 topical glucocorticoids를 고려한다.
■ 역류식도염은 EoE 모습처럼 보이기도 하고 동반 존재하기도 하고 EoE 발생에 기여하기도 한다. 역으로 EoE가 역류식도염에 기여하기도 한다. ■ EoE에서 양성자펌프억제제를 사용하면 이득이 있는 이유는 동반 존재하는 GERD에 대한 위산분비억제 효과이거나 다른 항염증기전 때문이다.
★ 국소 스테로이드 (topical glucocorticoids)
대부분의 EoE 환자들은 국소 스테로이드에 반응하며 fluticasone과 budesonide가 가장 잘 연구되었다.
Fluticasone propionate
- Spacer 없이 MDI를 사용해서 투여한다. 입안으로 분사하고 삼키는데 흡입해서는 안된다. 그리고 투여 후 30분 동안 먹거나 마시면 안된다. 성인에서는 220 mcg/spray를 하루 4회. ★
- 증상 개선과 EoE 관해 관련성은 없다.
- 4-8주 사용하고 증상 개선에 대한 평가를 한다.
- 조직학적 개선 여부를 판단하기 위해 내시경을 다시 한다.
- 이후 점진적으로 tapering한다.
- Episodic 또는 seasonal flares를 하는 경우 as needed로 사용한다.
REF. UpToDate 2022.10.02
'소화기내과(위장관) > 식도' 카테고리의 다른 글
| 역류 식도염, 역류 과민성, 기능성 가슴쓰림 [Reflux esphagitis, Reflux hypersensitivity, Functional heartburn] (0) | 2024.02.13 |
|---|---|
| 호산구성 식도염, Harrison's 21st edition (0) | 2022.10.02 |
| Distal esophageal spasm (DES) 또는 hypercontractile (jackhammer) esophagus, 치료 (0) | 2021.10.31 |
| 식도암 초기 증상, Early symptoms of esophageal cancer (0) | 2021.02.05 |
| 식도암 증상, Esophageal cancer, clinical manifestations (0) | 2020.11.23 |