BOSNIAK CLASSIFICATION OF RENAL CYSTS
The incidental finding of lesions in the renal parenchyma is common with the increased use of imaging procedures such as ultrasonography and computed tomography (CT). Such lesions are usually simple benign renal cysts, although complex renal cysts or neoplasms may need to be excluded. If the lesion appears to be a simple renal cyst, additional imaging is unnecessary. However, should the lesion appear to be other than a simple cyst, additional imaging with contrast-enhanced CT scan is recommended.
The Bosniak renal cyst classification system was created to help diagnose and manage these lesions. Based upon the morphologic and enhancement characteristics with pre- and post-contrast CT scanning, cystic renal masses are placed into one of five different categories (table 1):
●Category I – A benign simple renal cyst or multiple renal cysts, each with a thin wall without septa, calcifications, or solid components. The cyst has the density of water and does not enhance.
●Category II – Benign cystic lesions in which there may be a few thin septa and the wall or septa may contain fine calcifications or a short segment of slightly thickened calcification. This category also includes uniformly high-attenuation lesions that are <3 cm in diameter, well marginated, and nonenhancing.
●Category IIF – Cysts in this category are generally well marginated and are more complicated than category II cysts but less complicated than category III cysts. They may have multiple thin septa or minimal smooth thickening of the septa or wall, which may contain calcification that may also be thick and nodular.
There is no measurable contrast enhancement. However, these lesions may have perceived enhancement of the septa or wall, which is due to subjective (and not measurable) enhancement when the unenhanced and contrast-enhanced images are compared. This category also includes totally intrarenal, nonenhancing, high-attenuating lesions that are >3 cm in diameter. These cysts require follow-up to ascertain that they are not malignant.
●Category III – Indeterminate cystic masses that have thickened, irregular or smooth walls or septa. Measurable enhancement is present. Approximately 40 to 60 percent are malignant (cystic renal cell carcinoma and multiloculated cystic renal cell carcinoma). The remaining lesions are benign and include hemorrhagic cysts, chronic infected cysts, and multiloculated cystic nephroma.
●Category IV – Category IV lesions (85 to 100 percent of which have been reported to be malignant in various studies) have all the characteristics of category III cysts, plus they contain enhancing soft-tissue components that are adjacent to and independent of the wall or septum.
The presence of true contrast enhancement of the lesion (a minimum increased attenuation of 10 to 15 Hounsfield units) is the most important characteristic separating categories III and IV, which, as noted above, are associated with malignancy in 40 to 100 percent of reported cases, from the categories I, II, and IIF, which are typically benign processes.
Definition of Bosniak classification of cystic renal masses by CT scanning
Category I - Simple benign cyst with the following features: |
Hairline thin wall. |
Density less than 20 Hounsfield units (similar to water). |
Does not contain septa, calcification, or solid components. |
Does not enhance. |
Category II - Cystic lesions with the following features: |
A few hairline thin septa. |
"Perceived" enhancement may be present. There is no measurable enhancement. |
Uniformly high attenuation lesions <3 cm that are well marginated and do not enhance fall into this category. |
Category IIF - Minimally complicated cysts that do not neatly fall into category II. These lesions are generally well marginated but have some suspicious features that require follow-up: |
Multiple hairline thin septa or minimal smooth thickening of the wall or septa. |
"Perceived" enhacement of septa or wall may be present. |
Thick and nodular calcification of the wall or septa, but no measurable contrast enhancement is present. |
Totally intrarenal, nonenhancing, high attenuation lesions >3 cm in diameter fall in this category. |
Category III - True indeterminate cystic masses that typically undergo surgical evaluation, although many lesions are benign. These lesions show the following: |
Thickened irregular or smooth walls or septa in which measurable enhancement is present. |
Category IV - These mostly malignant lesions have the following features: |
All category III criteria. |
Enhancing soft-tissue components adjacent to, but independent of, the wall or septum. |
Adapted from Israel GM, Bosniak MA. An update of the Bosniak Renal Cyst Classification System. Urology 2005; 66:484.
REF. UpToDate 2020.03.13
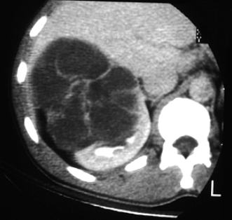
Category IV
Single axial contrast-enhanced CT scan through the right kidney demonstrates a large, multiloculated cystic mass containing irregular septations.
Category II
A) An axial CT scan shows a nonenhancing cyst (asterisk) in the left kidney with fine calcifications (arrowheads).
(B) A CT scan reformatted in the coronal plain and shows the cyst (asterisk) in the left upper pole with fine calcification in the wall (arrowhead).
(C) A magnified view of (A) and shows short, fine, segment calcifications (arrowheads).
REF. UpToDate 2020.03.13
'신장내과 > 서론' 카테고리의 다른 글
도파민의 신장에 대한 효과 ① (0) | 2021.04.28 |
---|---|
사구체여과율, Glomerular filtration rate (GFR) (0) | 2021.01.11 |
Heavy proteinuria 원인(Isolated 또는 nephritic type과 동반) (0) | 2019.10.03 |
혈뇨에 대한 평가, Overall approach to the evaluation for hematuria (0) | 2019.09.29 |
기립성 단백뇨 진단, Orthostatic proteinuria, diagnosis (0) | 2019.05.05 |