일반적으로 acute myeloid leukemia (AML), 특히 APL 환자들은 전형적으로 pancytopenia (예, anemia, neutropenia, and thrombocytopenia) 합병증과 관련된 증상 (weakness, easy fatigability, infections of variable severity, gingival bleeding, ecchymoses, epistaxis, menorrhagia)들로 내원합니다. 이런 증상들이 여러 개 있는 것이 일반적이고 APL에 유일한 특징은 DIC에 2차적인 출혈입니다. APL, 특히 hypergranular variant 환자들은 low white cell count일 수 있고 말초혈액에는 leukemic cells이 드뭅니다. 비록 APL이 보통 빠르게 증식하는 급성 백혈병이 아닐지라도, 환자가 증상을 보일 즈음에는 catastrophic bleeding 위험 때문에 종종 생명을 위협하는 응급 상황이기도 합니다. 얼마나 오래 APL이 preclinical phase 동안에 존재했는지는 모르지만, 진단 당시에 골수는 종종 거의 100 % malignant promyelocytes로 대체되어 심한 빈혈, 혈소판감소증, 백혈구감소증을 초래합니다. 단지 적은 수의 APL 세포들만이 혈액에 존재할 수 있습니다. 좀 더 중요한 것은 골수의 수많은 malignant cells이 DIC와 primary fibrinolysis로 심한 coagulopathy를 촉발시킨다는 것이며 진단 당시에 존재하거나 세포독성항암치료 직후에 발생합니다. 이 합병증은 medical emergency이며 치료하지 않으면 ~40 %에서 폐출혈, 뇌출혈이 발생하고 ~10-20%에서 초기 출혈성 사망이 발생합니다.
권고되는 APL 치료제는 all-trans retinoic acid (ATRA, 트레티노인)입니다. APL은 특징적인 coagulopathy로 인한 출혈 때문에 초기 사망률이 높기 때문에 medical emergency입니다. 따라서 definitive genetic, cytogenetic, immunostaining confirmation 전에 cytologic & clinical criteria에 근거하여 APL 진단이 의심되면 지체없이 치료 시작을 강하게 권고합니다. 만일 진단이 확진되지 않으면 ATRA는 중단하고 다른 유형의 AML 치료로 변경합니다. APL 진단은 leukemic cells의 특징적인 morphology, immunophenotype, severe coagulopathy가 있으면 의심됩니다. 확진은 PML-RARA fusion gene 그리고/또는 연관된 chromosomal translocation 확인입니다.
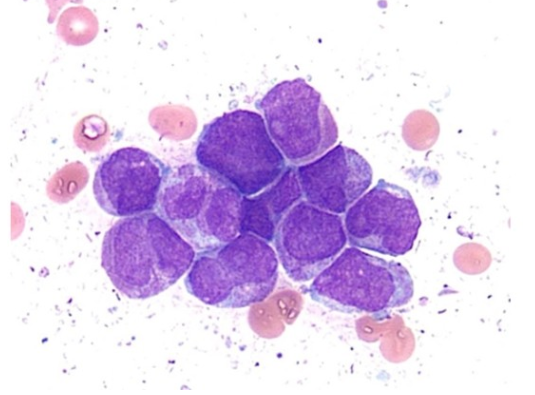
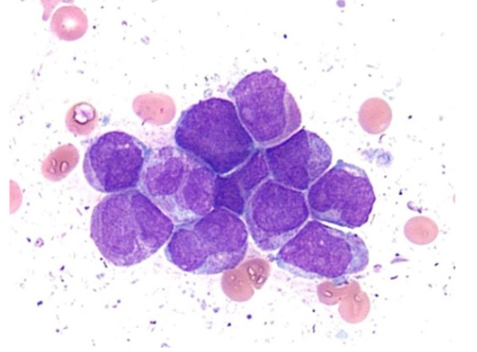
! 급성 전골수성 백혈병 (acute promyelocytic leukemia, APL), morphology
APL 환자들의 상당수는 진단 당시 단지 드문 leukemic cells와 함께 낮은 백혈구 수치로 내원합니다. 게다가 microgranular variant는 myeloid leukemia with monocytic differentiation와 쉽게 혼동될 수 있습니다. 그러므로 말초혈액 smear의 세심한 평가와 classic과 variant morphology의 인식이 molecular/cytogenetic 검사 이전에 APL을 추정적으로 진단하는데 중요합니다. APL은 골수와 말초혈액에서 비전형적인 promyelocytes 존재를 특징으로 합니다. Promyelocytes는 다양한 형태의 큰 (보통 지름이 >20 microns) myeloid precursors입니다. 종종 높은 N/C ratio(nucleus to cytoplasmic ratio), fine chromatin, prominent nucleoli를 특징으로 합니다. Promyelocyte의 중요한 특징은 세포질에 많은 violet granules입니다 (dense 형태 또는 coarse pattern이며 종종 nucleus를 가립니다). APL의 세포들은 더 크고 전형적으로 creased, folded, bilobed, kidney-shaped, dumb-bell shaped nuclei를 가지며 형태학적으로 정상 promyelocytes와 다릅니다.

Folded, bi-lobed, dumbbell, reniform-shaped nuclei with abundant granular cytoplasm.

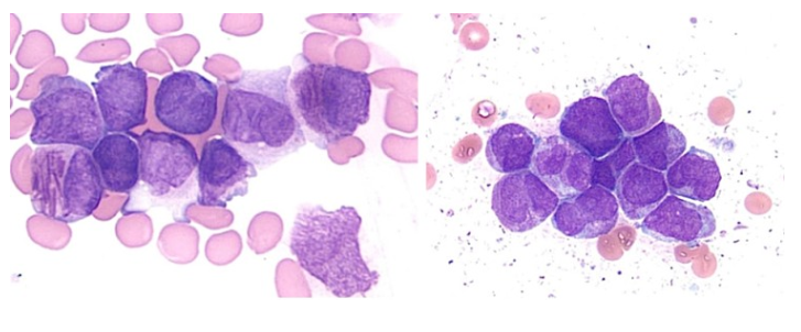
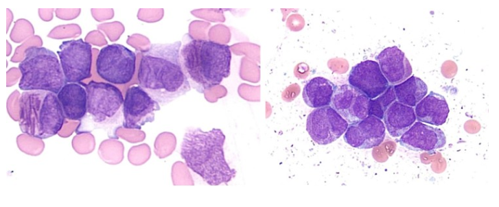
왼쪽 : Abundant Auer rods filling the cytoplasm
오른쪽 : Densely-packed bright pink, reddish-blue or dark purpule granules in cytoplasm.
Single Auer rod in the cell on the bottom left.
! 급성 전골수성 백혈병 (acute promyelocytic leukemia, APL), immunophynotype
전형적으로 APL 세포들은 정상 promyelocytic counterparts와 특정 immunophenotypic features를 공유합니다. Hypergranular form (typical form of APL)은 bright cytoplasmic myeloperoxidase, CD13, CD33을 표현하고 CD34은 partial weak 또는 negative이며 HLA-DR과 CD11b은 표현하지 않습니다. 정상 promyeloctes와 대조적으로 APL 세포들은 비정상적으로 낮은 수치의 CD 15와 weak 또는 variable CD 117을 나타냅니다.
! 급성 전골수성 백혈병 (acute promyelocytic leukemia, APL), genetic features
Acute promyelocytic leukemia with t(15;17)(q24.1;q21.2);PML-RARA는 chromosomes 15와 chromosomes 17 long arm 사이의 reciprocal translocation 존재로 정의되며, chromosome 15의 promyelocytic leukemia (PML) gene과 chromosome 17의 retinoic acid receptor alpha (RARA) gene을 연결하는 fusion gene인 PML-RARA가 만들어집니다.
㉮ Conventional karyotype
이 방법은 매우 특이적이며 standard workup의 필수 부분이지만, 시간이 오래 걸리며 일반적으로 결과를 얻으려면 약 2 일이 소요됩니다. PML-RARA fusion을 초래하는 cryptic rearrangements를 발견하지 못 할수도 있습니다 (위음성). 그러나 t(11; 17), t(5; 17) 및 다른 추가적인 공존 cytogenetic abnormalities과 같은 APL의 드문 molecular subtypes이 발견될 수도 있습니다.
㉯ Fluorescence in situ hybridization
PML/RARA fusion을 위한 Fluorescence in situ hybridization (FISH)는 기존 conventional cytogenetics보다 저렴하고 빠릅니다. 민감도는 사용되는 probe에 따라 다릅니다. FISH는 검출된 PML-RARA isoform에 대한 정보를 제공하지 않으므로 residual disease의 molecular monitoring에 사용할 수 없습니다. FISH 는 보통 24 시간 이내에, 또는 경우에 따라 더 짧은 시간 내에 수행 될 수 있습니다.
㉰ Reverse transcriptase polymerase chain reaction
PML-RARA RNA에 대한 Reverse transcriptase polymerase chain reaction (RT-PCR)은 APL의 진단을 확진하는 현재의 "gold standard"방법으로 간주됩니다. 또한 RT-PCR은 PML breakpoint location에 대한 정보를 제공하여 minimal residual disease을 모니터링하는 데 사용할 수 있습니다. 그러나, RT-PCR은 false-positives(contamination artifacts)와 false-negatives (due to poor RNA yield)이 수 있습니다.
! AML 진단과 분류를 위한 cytogenetic analysis

AML은 morphologic, cytochemical, immunophenotypic, cytogenetic/molecularanalysis을 사용하여 골수 흡인 및 생검으로 진단합니다. 현재 WHO 분류 체계에 따라 적절한 하위 유형으로 분류됩니다. 이 하위 유형은 예를 들어 적절한 치료법을 선택하고 예후 정보를 제공하며 미래의 분자 병인을 명확히 하여 개선된 치료법을 개발하는 데 도움이 됩니다. 대부분의 AML 경우에 myeloid blast forms이 골수 생검 표본의 총 cellularity 중 최소 20 %를 차지해야 합니다.이것에 대한 예외는 blast count 와 관계없이 AML 진단으로 간주되는 특정 genetic abnormalities이나 myeloid sarcoma입니다. 다음의 cytogenetic abnormalities가 발견되면blast count에 상관없이 AML로 진단합니다.
· AML with t(8;21)(q22;q22.1);RUNX1-RUNX1T1(previouslyAML1-ETO)
· AML with inv(16)(p13.1q22) or t(16;16)(p13.1;q22);CBFB-MYH11
· APL with t(15;17)(q24.1;q21.2);PML-RARA
또한 적어도 myeloblasts 최소 20 %를 필요로 하는 다음 네 가지가 예후에 중요한 유전적 이상을 가진 AML의 하위 범주로 확인되었습니다.
· AML with t(9;11)(p21.3;q23.3);KMT2A-MLLT3
· AML with t(6;9)(p23;q34.1);DEK-NUP214
· AML with inv(3)(q21.3q26.2) or t(3;3)(q21.3;q26.2);MECOM(EVI1)
· AML (megakaryoblastic) with t(1;22)(p13.3;q13.1);RBM15-MKL1
'혈액내과 > 조혈' 카테고리의 다른 글
| 용혈성 빈혈 (hemolytic anemia), terminology (0) | 2020.05.10 |
|---|---|
| Polycythemia vera (PV), clinical manifestation and laboratory features (0) | 2020.04.27 |
| 탈라세미아, 진단, Thalassemia, diagnosis (0) | 2020.04.25 |
| 재생불량성빈혈, 치료 선택, Aplastic anemia, treatment (0) | 2020.04.19 |
| Megaloblastic anemia, neurologic finding in vitamin B12 deficiency (0) | 2020.04.19 |