728x90
반응형
최근에 분변잠혈검사 양성인 환자가 내원하였습니다. 대장내시경을 평생 받은 적이 없다고 하여 대장내시경을 권유하였습니다. 분변잠혈양성이면 대장내시경을 검사 받은지 2년 정도 밖에 되지 않아도 대장내시경을 받아 보는 것이 좋습니다.
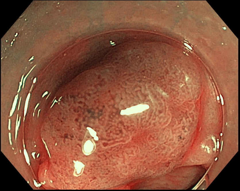
다음 환자는 2년 전에 (타병원)대장내시경을 받았던 환자로 분변잠혈검사 양성이어서 대장내시경을 다시 시행하였습니다. S colon에 1.8 cm 크기의 LST가 보입니다.



Previous imageNext image
다음 케이스는 이전에 올린 글입니다.
2년 반 전에 대장내시경을 받았던 환자로 수 개월 전부터 항문 출혈이 있었는데 대장내시경을 받았기에 치핵인가 보다 하고 대장내시경을 검사받지 않았습니다. 대장내시경에서 대장암이 확인되었습니다.
https://blog.naver.com/sjloveu2/220544956076

2년?
대장내시경 정상인 경우 추적 관찰할 간격은 아니지만
그렇더라도 분변잠혈검사 양성이거나 출혈이 있다면 치핵이 분명하지 않은 경우 대장내시경을 다시 받아 보는 것이 좋습니다. 2년 밖에 되지 않아도 큰 용종과 전암성 병변들을 발견되는 경우가 있습니다.
728x90
반응형
'소화기내과(위장관) > 위장관출혈' 카테고리의 다른 글
| 흑색변이 생길만한 약을 먹지 않았는데도 흑색변이 지속되면 응급 내시경과 수혈과 혈액검사가 바로 이루어지는 병원으로 가세요 (0) | 2020.01.30 |
|---|---|
| 성인 남자/폐경후 여성에서 철결핍성 빈혈이 있을 때 위장관 검사를 시행해야 합니다. (0) | 2020.01.01 |
| Cold snare polypectomy는 항응고제를 복용 중인 환자에서 출혈 위험이 hot snare polypectomy보다 낮았습니다. (0) | 2019.10.13 |
| 대장내시경 용종 절제술 후 출혈 예방을 위한 clip closure가 도움이 되는 경우 (0) | 2019.10.13 |
| 내시경 소견에 근거한 상부위장관 출혈 환자를 위한 제안된 알고리즘(빈도, 재출혈 위험, 내시경적 지혈 이후 재출혈 위험) (0) | 2019.08.30 |