728x90
반응형




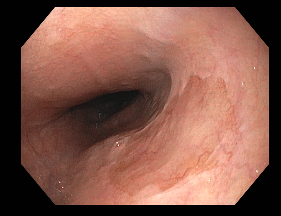
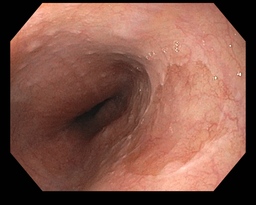
식도 상부에서 전형적으로 발견되는 위점막과 닮은 구별되는 영역. 일반 인구에서 유병률은 autopsy에서 약 5%인 반면 위내시경 연구에서는 상부위장관내시경을 시행하는 환자에서 0.4~11%. 내시경 연구에서 유병률이 더 낮은 이유는 inlet patches가 식도 상부에 위치하고 있기 때문인 것 같습니다. 가장 일반적으로는 UES 아래 식도 3 cm 부위에서 발견되며 이 부위는 일반적인 상부위장관내시경 동안에 잘 보여지는 곳은 아닙니다. Inlet patches는 모든 연령에서 기술되었지만 가장 일반적으로 발견되는 나이는 50대 중반입니다.
REF. UpToDate 2019.05.23
728x90
반응형
'소화기내과(위장관) > 식도' 카테고리의 다른 글
| 식도이완불능증의 치료 선택, Choice of treatment, achalasia (0) | 2020.02.16 |
|---|---|
| 연하곤란의 증상에 근거한 감별 진단, Symptom-based differential diagnosis of dysphagia (0) | 2020.02.16 |
| 알긴산 나트륨(라미나지액), Sodium alginate(Lamina-G solution) (0) | 2019.03.31 |
| 양성자 펌프 억제제 선택, Selecting a proton pump inhibitor(PPI) (0) | 2019.02.18 |
| 역류식도염에서 제산제, Antacid in reflux esophagitis (0) | 2019.02.18 |