Peripheral smear는 전형적으로 leukocytosis를 나타내며 평균 백혈구수는 약 100,000 / microL (범위 12,000 ~ 1,000,000/microL)입니다.
|
백혈구는 전형적으로 골수모세포 (myeloblasts)에서부터 성숙한 호중구 (mature neutrophil)에 이르기까지 중성구의 거의 모든 세포를 나타냅니다. |
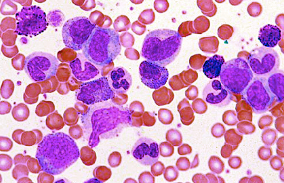
Chronic myeloid leukemia blood smear

Characteristic peripheral blood smear of chronic myeloid leukemia shows basophilia and granulocytosis with neutrophils and immature granulocytes.
골수세포(myelocytes)와 segmented neutrophils이 가장 많습니다. Blasts는 전형적으로 2 % 미만입니다. 보다 성숙한 mature metamyelocytes보다 myelocytes가 더 많이 존재하는 것이 CML의 전형적인 소견입니다 ("leukemic hiatus" 또는 "myelocyte bulge"). CML 만성기의 granulocytes는 형태학적으로 정상이며 dysplasia의 증거는 없지만, 더 진행된 질환 특히 accelerated phase에서 dysplasia는 발생할 수 있습니다.

형태학적으로 정상이지만 CML의 호중구는 세포화학적으로 비정상입니다. 백혈구 (또는 호중구) 알칼라인 포스파타아제 (LAP, 또는 NAP)라고 불리는 세포화학 반응은 점수가 낮습니다. 낮은 LAP 점수는 일반적으로 점수가 높거나 정상인 보통 감염으로 인한 반응성 백혈구 증가증 또는 "leukemoid reaction"을 제외시키는데 유용합니다. 낮은 LAP activity는 또한 LAP activity가 종종 증가되는 진성적혈구 빈혈(PV)을 제외시키기 위해 전형적으로 사용됩니다.
Absolute basophilia는 CML 환자의 혈액 도말 검사에서 보편적인 소견이며 절대 호산구 증가증은 약 90 %의 경우에서 나타납니다. Absolute monocytosis (>1000/microL)는 monocytes의 비율이 전형적으로 낮을지라도(<3 percent) 흔하지 않는 것은 아닙니다. 전형적인 p210 BCR-ABL1 융합단백질이 아닌 p190 BCR-ABL1 융합단백질을 생성하면서 22번 염색체에 다른 breakpoint를 가지고 있는 CML 환자들 중 간혹 말초혈액에서 보다 두드러진 monocytosis와 낮은 neutrophil/monocyte ratio을 나타내는 경향이 있습니다.
혈소판 수는 정상이거나 상승될 수 있습니다. 600,000/microL 이상의 혈소판 수치는 15 ~ 30 %의 환자에서 나타납니다. 혈소판 수가 낮거나 혈소판 감소증이 있으면 진단 시 골수이형성 증후군과 같은 다른 진단 가능성을 재고해야합니다. Normochromic, normocytic anemia는 45 ~ 60 %의 환자에게서 나타납니다.
|
골수검사도 말초혈액에서 보이는 것과 비슷한 granulocytic hyperplasia with a maturation pattern을 나타냅니다. |
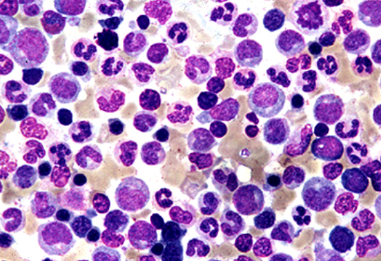
Bone marrow aspirate in chronic myelogenous leukemia

Bone marrow aspirate from a patient with chronic myelogenous leukemia shows hyperplasia of elements of the granulocytic series (eg, promyelocytes, myelocytes, metamyelocytes, band forms, and mature granulocytes).
REF. UpToDate 2020.08.14