Nonalcoholic fatty liver disease (NAFLD) 진단을 위해서는 영상 검사 (또는 조직검사)에서 hepatic steatosis가 입증되어야 하고, 알코올 섭취와 hepatic steatosis의 다른 원인이 배제되며 동반된 만성간질환이 없어야 합니다. 보통 hepatic steatosis의 다른 원인들이 재베되면 영상 검사만으로도 충분합니다. 대부분의 경우에 조직검사를 필요하지 않으며 진단이 분명하지 않은 경우나 hepatic injury 정도를 평가하기 위해 시행할 수는 있습니다. 조직검사는 현재 nonalcoholic steatohepatitis (NASH)와 nonalcoholic fatty liver (NAFL)를 구분하는 유일한 방법입니다. AST/ALT, ferritin 수치 상승은 NAFLD에서 종종 비정상이지만 진단을 위한 필요조건도 충분조건도 아닙니다. NAFLD에서 이 검사 수치들은 정상일 수도 있고 다른 원인에 의해 상승되었을 수도 있습니다. 그러나 혈액검사는 다른 감별 진단을 위해서도 필요합니다. NAFLD를 진단하기 위해서 A, B, C형 간염에 대한 바이러스 검사를 시행하고 autoimmune hepatitis와 hemochromatosis 같은 다른 만성간질환도 배제합니다. 모든 환자에게 시행하는 검사는 다음과 같습니다. Anti-hepatitis C virus antibody, Hepatitis A IgG, Hepatitis B surface antigen, surface antibody, and core antibody, Plasma iron, ferritin, and total iron binding capacity, Serum gammaglobulin level, antinuclear antibody, antismooth muscle antibody, anti-liver/kidney microsomal antibody-1.

간초음파 사진의 diffusely increased echogenicity는 지방간 소견입니다.정상 hepatic vein의 wall은 liver parenchyme보다 hyperechoic하지만 사진의 hepatic vein wall은 isoechoic하며 parenchyme의 echogenicity가 증가되어 있음을 알 수 있습니다.
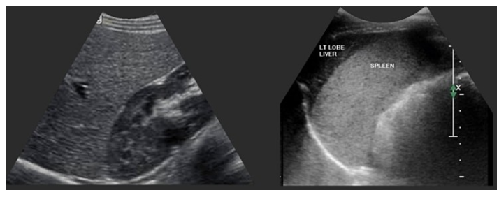
Fatty liver 초음파 소견
① 정상 hepatic vein의 wall은 liver parenchyme보다 hyperechoic하지만 지방간에서는 isoechoic합니다 (아래 첫 번째 사진과 세 번째 사진 비교)

② 정상 liver echotexture는 homogenous echogenicity를 보이며 renal cortex와 비교할 때 약간 echogenicity가 증가되어 보이고 (아래 왼쪽 사진), spleen과 비교할 때 hypoechoic하게 보입니다 (아래 오른쪽 사진).

REF. UpToDate 2020.05.01
'소화기내과(간) > 지방간, 지방간염' 카테고리의 다른 글
| 당뇨병이 없는 비알코올성 지방간의 치료제 (0) | 2022.06.06 |
|---|---|
| 비알코올성 지방간 질환, 혈액검사 모니터링, Nonalcoholic fatty liver disease, laboratory monitoring (0) | 2021.01.07 |
| [문정동 내과, 송파베스트내과의원] 비알코올성 지방간 치료, 초기 생활습관 개선 (0) | 2021.01.06 |
| 비알코올성 지방간 치료, 체중 감량, Management of nonalcoholic fatty liver, weight loss (0) | 2021.01.06 |
| 비만 수술 후 비알코올성 지방간의 완전한 소실, Complete Resolution of NAFLD After Bariatric Surgery (0) | 2019.06.16 |