
심첨부에서 들리는 low pitch rumbling murmur, 제1심음 강화, 제2심음 분리는 승모판협착증을 암시하는 소견들입니다. 또한 mitral stenosis(MS)에서 가장 흔하고 중요한 비정상 심전도는 심방세동이며 다른 심전도 소견들은 MS에 특이적이지 않습니다. 추가로 언급한다면 left atrial hypertrophy와 enlargement로 인한 lead V1 : biphasic P파, lead II : broader (duration in lead II >0.12 sec), P-mitrale 입니다. 하지만 AF으로 인하여 P파의 변화가 분명하게 보이지 않을 수도 있습니다. 폐동맥 고혈압과 우심실비대가 생기면 frontal axis가 우측으로 이동하고(S>R in lead I and aVL), tall R wave가 V1, V2에서 보입니다(R>S or R/S ratio >1). Mild MS에서 흉부엑스레이는 일부에서 left atrium과 appendage의 약간의 enlargement를 보일지라도 보통 정상입니다. Left atrial enlargement는 double density와 left heart border의 직선화를 나타냅니다.

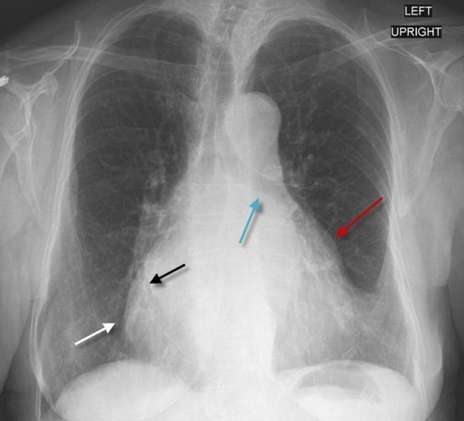
Red arrow : The left atrium is enlarged, displacing the left atrial appendage outward
Black arrow : "Double density" consisting of overlapping of the left atrium
White arrow : Right atrium
Blue arrow : The left main bronchus is elevated by the enlarged left atrium pushing it upwards


Severe mitral stenosis : sinus tachycardia, biphasic P in V1, right ventricular hypertrophy(right axis deviation, tall R wave in lead V1)

REF
UpToDate 2020.03.07
https://litfl.com/left-atrial-enlargement-ecg-library/
https://clinicalgate.com/limitations-and-uses-of-the-ecg-2/
http://learningradiology.com/archives2012/COW%20493-MS/mscorrect.html