
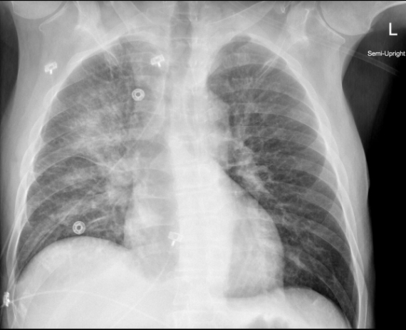
Acute MR에서 심전도는 보통 정상이며 원인이 되는 질환(심근경색, 좌심실비대)이 있다면 이를 나타냅니다. P-mitrale가 있다면 chronic MR이 있었을 것으로 추정해 볼 수 있습니다. 흉부 엑스레이도 보통 정상 크기의 심장을 나타내면서 폐부종 소견을 보입니다. Interstitial and alveolar edema는 보통 양측성이지만 때때로(한 연구에서 9 %) 폐부종은 일측성이기도 하고 전형적으로는 RUL에 국한됩니다. 다음 예로 든 흉부 엑스레이는 unilateral pulmonary edema from acute MR 케이스의 사진입니다. Acute MR 환자들은 폐부종과 쇼크로 내원하기 때문에 내과적, 외과적 응급입니다. 대부분의 경우 확실한 치료는 즉각적인 수술입니다. 그러나 진단이 이루어지는 시간과 수술을 대기하는 동안 약물 치료가 필요하기도 합니다.

Acute MR에서 약물 치료의 1차 목표는 수술 준비 동안 환자를 안정화시키는 것입니다. IV nitroprusside는 systemic vascular resistance를 줄임으로서 MR을 줄일 수 있습니다. MR severity 감소는 forward cardiac output을 증가시키고 pulmonary congestion을 감소시킵니다. Vasodilator는 전신 저혈압으로 사용이 종종 제한됩니다. Intraaortic balloon counterpulsation는 acute MR 환자에서 응급 판막수술 이전 일시적인 수단으로 사용되어 왔습니다. 일시적 안정은 또한 단기간의 circulatory assist device 사용으로 이루어질 수 있습니다.
REF. UpToDate 2020.02.28
