728x90
반응형
송파베스트내과의원
20대/남자
1일 전부터 시작된 심함 상복부 통증으로 내원하였습니다.
항상 환자를 보면서 느끼지만 급성위점막병변 (acute gastric mucosal lesion, AGML) 통증은 극심합니다.
다른 병원 갔다가 아파서 또 다른 병원을 가거나
응급실에서 집에 갔다가 계속 아파서 다시 오거나
식은땀을 흘릴 정도로 심한 통증을 호소하거나...
이러한 경우 환자들은 위염증, 위경련, 체한 것으로 생각합니다.
물론 넓은 범위의 위염에 해당하지만 환자들이 생각하는 염증과 AGML은 다릅니다.
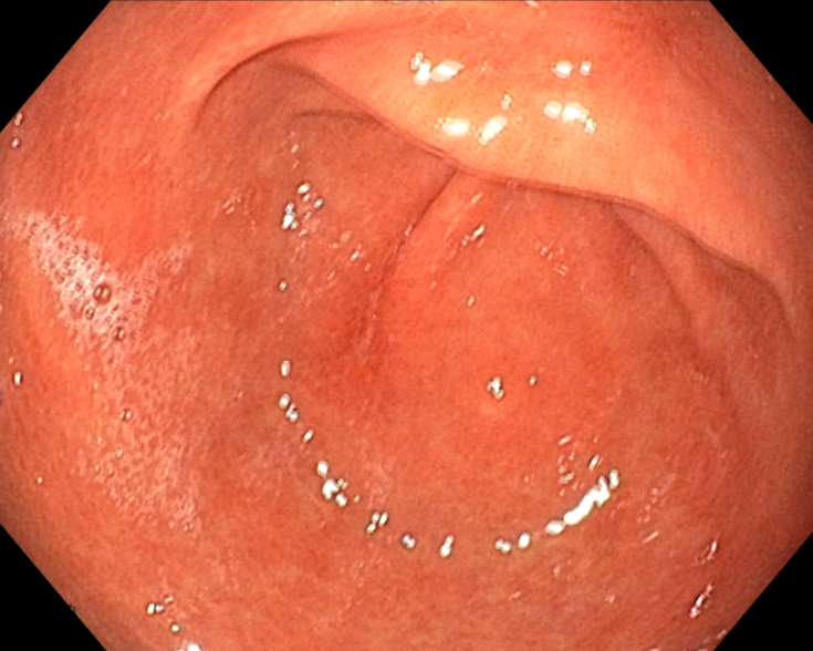
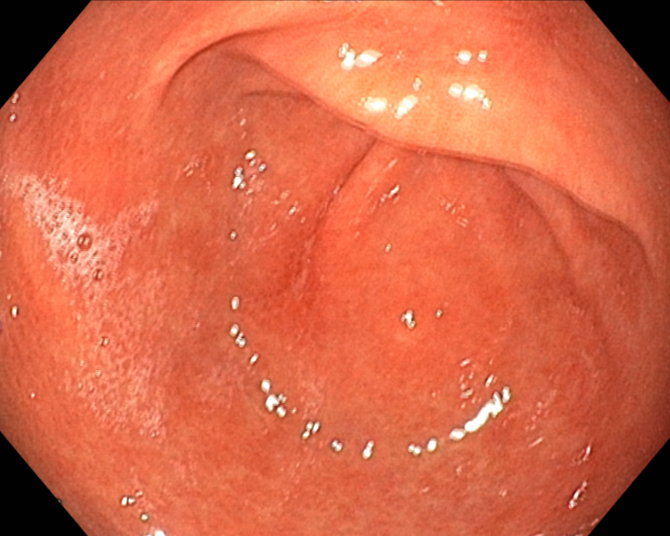
다음은 위내시경에서 확인된 위분문부와 유문부 점막에 생긴 급성위점막병변 사진입니다.
치료 8일 후 추적 위내시경을 시행하였습니다. 모두 호전된 소견.
728x90
반응형
'소화기내과(위장관) > 위내시경' 카테고리의 다른 글
송파베스트내과의원에서 건강검진 위내시경 (0) | 2021.03.28 |
---|---|
장상피화생, 증상이 있는지 없는지 (0) | 2021.02.03 |
급성위점막병변의 위내시경과 통증 양상 (0) | 2021.01.31 |
위내시경 전 식사와 위내시경 후 식사 (0) | 2020.12.30 |
[2020.12.02] 2020년 국가암검진 내시경 질 향상을 위한 전문가 워크숍 (0) | 2020.12.02 |