위내시경 초심자를 위한 글입니다.
내시경 삽입을 배울 때 좌측 pyriform sinus로 삽입하는 것을 먼저 배웠습니다. (노란색 별표)
이 방법이 용이하지 않는 경우 우측 pyriform sinus로 삽입하는 것을 시도하였습니다. (파란색 화살표)
대한소화기내시경학회 세미나 강의에서도 비슷하게 강의를 합니다.
요즈음은 거의 먼저 우측 pyriform sinus로 삽입을 하는데
대장내시경에서 무작정 scope을 밀지 않고 약간의 opening이라도 확인하고 scope을 전진하듯이
(위내시경) 우측 pyriform sinus에서 scope을 밀면서 opening을 확인하고 scope을 전진하면
blind하게 scope을 밀지 않아도 잘 삽입이 됩니다.
올바른 삽입, 관찰, 사진 찍기, 제52회 대한소화기내시경학회 세미나
화면 왼쪽에 나타나는 좌측 pyriform sinus에 내시경이 도달하면 내시경 끝이 가운데를 향하도록 조작하면서 조심스럽게 밀어 넣는다. 이 때 내시경 조작부의 knob을 사용할 수도 있으나 그보다는 내시경을 시계방향으로 약간 돌리면서 좌측 팔을 올려 주면 자연스럽게 가운데를 향하게 된다. 대부분 좌측 pyriform sinus를 통하여 어려움 없이 내시경을 삽입할 수 있지만 간혹 저항감이 느껴지면서 진입이 힘든 경우 우측 pyriform sinus를 통한 삽입을 시도해 볼 수도 있겠다. 수차례 시도해도 통과가 잘 안되면 환자에게 침을 삼키게 하여 상부 식도 괄약근이 이완될 때 살짝 밀어 넣는 방법을 시도하기도 한다. |
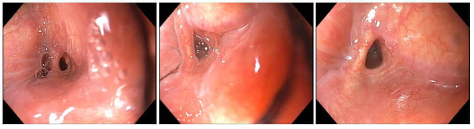
내시경 scope을 삽입할 때 절대 blind로 scope을 밀지 마십시요. 아래 사진처럼 pyriform diverticulum이 있을 수도 있고 가끔식 이 정도는 아니지만 diverticulum처럼 약간 들어간 부위도 있습니다. 대부분 큰 문제는 없지만 tear, perforation이 발생할 수도 있습니다.
'소화기내과(위장관) > 위내시경' 카테고리의 다른 글
위축성위염, 장상피화생과 위암위험, Atrophic gastritis, intestinal metaplasia and gastric cancer risk (0) | 2020.11.13 |
---|---|
언제 위내시경을 시행하는가? [위내시경 적응증] (0) | 2020.11.12 |
Fundic gland polyp, malignant potential and management (0) | 2020.08.03 |
구강, 인후두, 식도, 위에 대한 검사, 처치 및 수술시의 점활성 표면마취제, 베노카인 (0) | 2020.07.30 |
공기를 많이 넣으면 위축성위염처럼 보이기도 하지만 위축성위염으로 진단하면 안됩니다. (0) | 2020.07.02 |