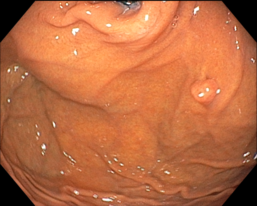
D Fundic gland polyp이고 제거할 필요가 없습니다.
P 그래도 제거하고 싶습니다.
Fundic gland polyp의 악성 잠재성 (malignant potential)은 없습니다. Somatic APC gene mutations이 dysplasia가 없는 syndromic fundic gland polyps의 70 % 이상에서 발견되었으나 sporadic lesions에서는 10 % 미만이었습니다. Sporadic fundic gland polyps과 PPI와 관련된 polyps은 실질적으로 악성 잠재성이 없습니다. 그러나 dysplasia가 드물게 있기도 합니다. FAP 환자의 fundic gland polyps의 경우 30-50%는 dysplasia를 나타내지만 전형적으로는 low grade입니다. 그러나 FAP 환자에서의 adenoma와 대조적으로 fundic gland polyps은 거의 암으로 진행하지 않습니다. Fundic gland polyps은 빈번하게 다발성이고 한 개 이상 대표적인 몇 개의 조직검사로 충분합니다. 남은 polyps은 내시경으로 주의 깊게 (?) 관찰하고 다른 곳과 달라 보이는 polyps은 조직검사를 하고 가능하면 제거합니다. 1 cm 이상의 polyps, 궤양이 있는 poylps, antrum에 있는 polyps은 절제해서 dysplasia는 없는지 neplasia는 없는지 확인해야 합니다. |
Familial polyposis syndrome 가능성은 poyps이 20개 이상인 경우, antrum에 fundic gland polyps이 있는 경우, 젊은 나이 (40세 이전)에 발생한 fundic polyps, 십이지장에 adenoma가 동반된 경우에 고려되어야 하고 대장내시경을 시행해야 합니다. PPI 사용으로 여겨지는 sporadic fundic gland polyps 환자에서 polyps이 20개 이상이거나 1cm보다 큰 경우에는 PPI를 중단합니다. 이와 같은 환자에서 hypergastrinemia는 gastrinoma (Zollinger-Ellison syndrome) 또는 좀 더 일반적으로는 PPI-induced hypochlorhydria를 시사하고 존재한다면 PPI 용량을 줄이거나 중단합니다. 만일 GERD 치료를 위해 위산 분비 억제가 필요하고 H2R blocker로 치료되지 않으면 가장 낮은 용량으로 다른 PPI를 고려합니다. |
REF. UpToDate 2020.08.03
'소화기내과(위장관) > 위내시경' 카테고리의 다른 글
언제 위내시경을 시행하는가? [위내시경 적응증] (0) | 2020.11.12 |
---|---|
내시경 삽입, 우측 pyriform sinus로 우선하여 삽입하는 것도 괜찮은 방법입니다 (0) | 2020.08.09 |
구강, 인후두, 식도, 위에 대한 검사, 처치 및 수술시의 점활성 표면마취제, 베노카인 (0) | 2020.07.30 |
공기를 많이 넣으면 위축성위염처럼 보이기도 하지만 위축성위염으로 진단하면 안됩니다. (0) | 2020.07.02 |
'헬리코박터균 누구나 다 있다던데요', '그냥 놔두어도 괜찮다던데요' (0) | 2020.06.24 |