728x90
반응형


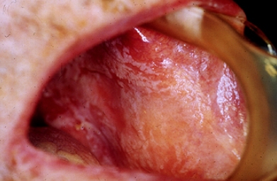
Buccal mucosa의 pseudomembrane으로 보아 oropharyngeal candidiasis(구강칸디다증, 구강인두 칸디다증)를 진단할 수 있습니다. AIDS가 아닌 환자에서 oropharyngeal candidiasis는 보통 7-14일의 국소치료제로 가능합니다. 국소치료제로 성공적인 치료를 하려면 국소치료제와 구강 점막과 적절한 접촉 시간이 중요합니다.
이와 같은 약제로 clotrimazole troches (one 10-mg troche dissolved slowly five times daily), miconazole mucoadhesive buccal tablets (50 mg once daily applied to the mucosal surface over the canine fossa), nystatin swish and swallow (400,000 to 600,000 units four times daily)이 있습니다. 만일 국소적인 방법으로 치료되지 않으면 선호되는 치료제는 경구 플루코나졸 (200 mg loading dose, then 100 to 200 mg daily)입니다. 임상 증상과 징후는 플루코나졸 복용 환자 90 %에서 있습니다.
REF. UpToDate 2019.12.01
728x90
반응형
'감염내과 > 진균감염' 카테고리의 다른 글
| 조갑 진균, 항진균, Moderate to severe dermatophyte onychomycosis, antifungal therapy (0) | 2020.04.24 |
|---|---|
| 테르비나핀, 손발톱 무좀, Terbinafine, onychomycosis (0) | 2020.02.20 |
| 손발톱무좀 치료 가이드라인 (0) | 2019.07.11 |
| 주블리아 외용액 사용 시 주의사항과 사용방법 (0) | 2019.07.05 |
| 손발톱 진단과 치료를 위한 가이드라인, Korean Guideline for the Diagnosis and Treatment of Onychomycosis (0) | 2019.06.12 |